
ФГБНУ "Российский центр неврологии и нейронаук" первым из профильных российских научных центров стал использовать при диагностике болезни Альцгеймера позитронно-эмиссионную томографию, позволяющую визуализировать специфический патологический белок. Метод широко применяется в зарубежной практике, но в России был до этого недоступен.
Руководитель Центра когнитивного здоровья ФГБНУ, кандидат медицинских наук Юлия Шпилюкова рассказала Metro, что это один из двух дополнительных способов диагностики, помогающий добиться более точного результата, что особенно важно на ранних стадиях заболевания.
– Также мы первыми в России начали применять биомаркеры для диагностики болезни Альцгеймера, а в последние 3—4 года используем это в рутинной клинической практике, – пояснила она. – Это позволяет установить диагноз на максимально ранней стадии или при неклассическом фенотипе заболевания.

По словам врача, клиническая картина заболевания и МРТ не всегда точно подтверждают диагноз. При этом зарубежные фармацевты недавно выпустили на рынок новые препараты для лечения болезни Альцгеймера, более эффективные, чем применяются сейчас. Их назначение требует максимальной уверенности. Кроме того, точность при диагностике – в приоритете научной работы центра, сообщила врач.
– Мы используем анализ биомаркеров заболевания, которые возможно обнаружить в цереброспинальной жидкости, окружающей головной и спинной мозг. Чтобы взять эту жидкость, выполняется люмбальная пункция: тонкой иглой делается прокол между позвонками в области поясничного отдела. Анализ абсолютно безопасен, мы направляем на него более 100 человек в год, две трети из них подтверждают диагноз. Но иногда при исследовании биомаркеров становится ясно, что болезнь Альцгеймера можно исключить, – сказала Юлия Александровна.
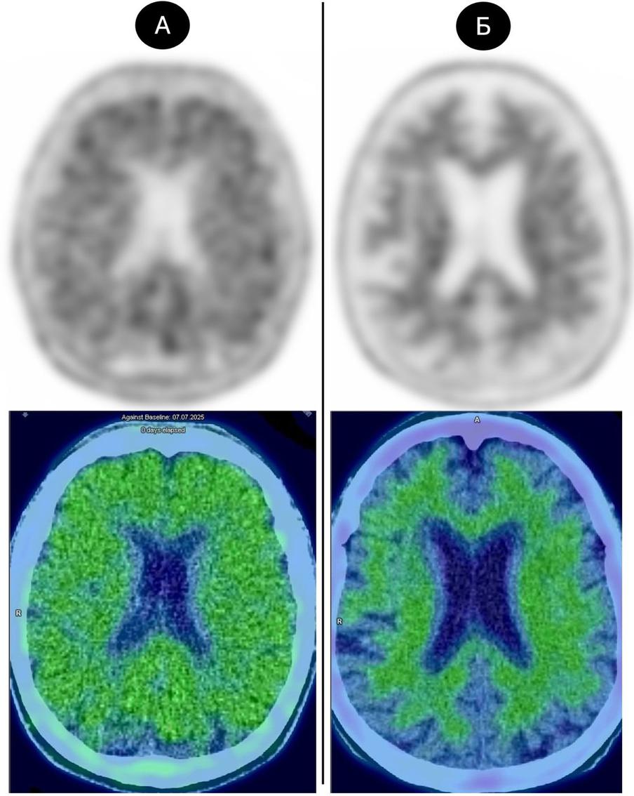
Метод позиционно-эмиссионной томографии (ПЭТ) – менее инвазивный. Чаще всего его используют в онкологии, поэтому научная работа центра проходит в сотрудничестве с ФГБУ “НМИЦ онкологии им. Н. Н. Блохина”, где есть необходимый аппарат.
– До процедуры пациенту внутривенно вводят специфический радиофармацевтический лекарственный препарат, который при патологических отложениях бета-амилоидов в головном мозге напрямую связывается с ними. При положительном результате отчётливо видно лекарство, которое таргетно попадает именно в поражённые участки. На основании этого результата может быть диагностирована болезнь Альцгеймера.

Методы диагностики постоянно совершенствуются, рассказали в центре. Не так давно среди основных причин когнитивных болезней повсеместно стали называть нарушения зрения и слуха. Неврологи, узнав о новой классификации, настоятельно рекомендуют устранить такой фактор риска, например, сделав операцию по устранению катаракты, носить корригирующие очки или использовать слуховой аппарат в случае тугоухости.
– Многие пациенты спрашивают, как устранить факторы риска возникновения болезни Альцгеймера. Тут всё банально: прежде всего – пересмотреть свой образ жизни. Если вы работает на двух работах, не высыпаетесь, не отдыхаете, при этом испытываете когнитивные нарушения, нужно менять режим дня и образ жизни в целом, – подчеркнула Юлия Шпилюкова.
По словам врача, 65 лет является возрастной границей для разделения всех случаев когнитивных нарушений и деменций: более молодой возраст дебюта считается ранним дебютом, более старший – поздним. Болезнь Альцгеймера является ведущей причиной деменции в обеих возрастных группах, то есть это заболевание – не только прерогатива пожилых людей. Стоит обратить внимание и обратиться к врачу в том случае, если вы замечаете, что часто забываете события, произошедшие недавно, или часто переспрашиваете одно и то же.
