
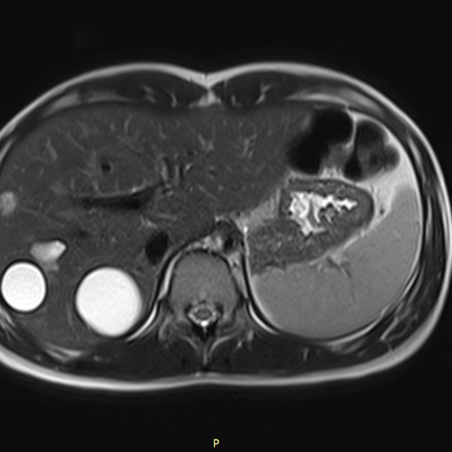
Врачи из больницы Сперанского успешно прооперировали 14-летнюю пациентку, у которой в печени обнаружили пять эхинококковых кист. Это паразитарное заболевание, вызванное личинками ленточных червей Echinococcus, было обнаружено у девочки из Самарской области во время обследования.
До обращения в столичную клинику ей установили диагноз с помощью компьютерной томографии, а в Москве его подтвердили с помощью МРТ.
Как рассказал Metro заведующий хирургическим отделением № 1, профессор Игорь Хворостов, случай нетипичный: врачи впервые столкнулись с таким большим количеством эхинококков – от живых до мёртвых.

– Операцию провели лапароскопически, из печени удалили пять кист. Вначале мы ввели препарат с помощью пункции, который уничтожил личинки, затем удалили содержимое новообразований и извлекли хитиновые оболочки. Диагноз был поставлен на ранней стадии, кисты эхинококка были в диаметре 5 см. И хотя мы встречали гораздо большие – и 10, и 20 см, – сложность была в том, что они располагались в разных местах. При лапароскопической операции результаты гораздо лучше, нет угрозы инфицирования брюшной полости, тем более в таких случаях, когда эхинококковые кисты расположены в разных сегментах.
По словам врача, эхинококкоз развивается долго и бессимптомно. Как правило, пациент попадает к врачам, когда болезнь уже развилась. У девочки удалось обнаружить недуг рано и до операции провести противопаразитарный курс лечения. Уже через пять дней её выписали с самыми позитивными прогнозами.
Игорь Хворостов рассказал, что распространённость эхинококка растёт, но сейчас, если брать последние два года, заражение обнаруживают у двух человек из ста тысяч. По мнению хирурга, необходим регулярный скрининг.

Чаще всего эхинококкозом инфицируются при употреблении пищи, заражённой личинками. Часть личинок, которые не погибают, попадают в кровоток, а затем в печень, лёгкие или головной мозг. При этом человек – промежуточный хозяин паразита, в его теле не развивается половозрелая особь. Но возникают кисты, которые возможно удалить лишь хирургическим вмешательством.
Важно:
- Признаки эхинококкоза часто отсутствуют в течение длительного периода.
- Часто паразит попадает в организм детей, а проявления эхинококкоза регистрируются уже во взрослом состоянии.
- Специфические симптомы определяются нарушением работы органа, в котором развиваются паразитарные кисты.
Общие симптомы:
– высыпания на коже, появляющиеся без конкретного провоцирующего момента и носящие аллергический характер по типу крапивницы или дерматита;
– частые кратковременные эпизоды повышения температуры тела до 37,2–37,7 ℃, не сопровождающиеся никакими другими симптомами;
– постоянная слабость, сонливость, быстрая утомляемость;
– периодически возникающие тошнота, отрыжка, может быть рвота.
Локальные симптомы:
– При эхинококкозе печени возникает тяжесть в правом подреберье, увеличивается печень, иногда наблюдается желтуха.
– При эхинококкозе лёгких бывает кашель, одышка, боли в грудной клетке.
– Эхинококкоз мозга проявляется очаговыми неврологическими симптомами, появлением парезов, сильными головными болями, симптомами внутричерепной гипертензии, расстройством чувствительности.
– Эхинококкоз сердца характеризуется загрудинными болями, нарушением ритма, симптомами сердечной недостаточности.
